CARO ESTUDANTE! Seja bem-vindo à atividade MAPA (Material de Avaliação Prática de Aprendizagem) da disciplina de Embriologia e Histologia.
CARO ESTUDANTE! Seja bem-vindo à atividade MAPA (Material de Avaliação Prática de Aprendizagem) da disciplina de Embriologia e Histologia.
Instruções iniciais:
1- Utilize o modelo de MAPA padrão para realizar esta atividade e siga todas as instruções constantes nesse modelo. Ele se encontra em “Material da Disciplina”.
2- Assista ao vídeo com as instruções para a realização do MAPA, que estará na “Sala do Café”.
A demora entre a percepção dos sintomas e o desfecho final de doenças degenerativas é um problema relevante que vem sendo analisado há muitos anos em diversos países do mundo.
Estudos recentes determinaram que o tempo médio para se concluir um diagnóstico de uma doença degenerativa é de 10 a 15 semanas. Isso faz com que muitas vezes o paciente seja exposto a tratamentos desnecessários, e que podem até piorar o quadro da doença.
Por isso, exames histológicos se fazem extremamente necessários. Através da análise da morfologia das células, é possível definir um diagnóstico e um tratamento mais preciso, levando a uma melhora na qualidade de vida do paciente.
Nossa atividade MAPA retrata um caso clínico, cuja prevalência da doença estudada é de 4 a 6/100.000 pessoas:
João, de 55 anos, relatou o início de fraqueza no pé direito, que progrediu ao longo do membro inferior e se estendeu para o lado esquerdo. Essa fraqueza estava associada a cãibras frequentes e se desenvolveu gradualmente. Além disso, ele mencionou uma perda de peso significativa devido à dificuldade de deglutição. Procurou atendimento médico devido à dispneia que ocorria mesmo com esforços mínimos nos últimos meses. No exame físico, foi observada fraqueza muscular com sinais de atrofia muscular distal em membros superiores e inferiores, presença de espasmos musculares, porém sensibilidade preservada.
Com base na história clínica, houve suspeita de Esclerose Lateral Amiotrófica (ELA), cujo diagnóstico foi posteriormente confirmado por meio de eletroneuromiografia (ENMG). Exames de ressonância magnética das colunas cervical e torácica revelaram uma extensa lesão sugerindo degeneração de neurônios motores, com sinais de denervação em várias regiões musculares. O paciente progrediu para uma condição de plegia nos membros inferiores e tornou-se incapaz de deglutir, necessitando de uma gastrostomia endoscópica. Ele recebeu acompanhamento de uma equipe multiprofissional, mas acabou requerendo ventilação mecânica e, infelizmente, veio a óbito após alguns meses de internação.
Fonte: adaptado de: PEZZI, L. A. H. et al. Anatomia clínica baseada em problemas. São Paulo: Grupo GEN, 2011.
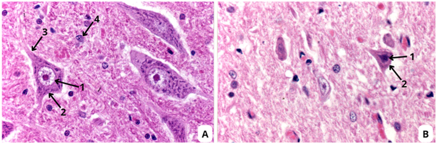
Agora observe as imagens a seguir, lâminas histológicas coradas em Hematoxilina e Eosina (HE), da medula espinal de um paciente normal (sem a doença – A) e um paciente com ELA (B). Aqui é importante observar que as duas imagens apresentam o mesmo aumento ao microscópio óptico.

Figura 1 – (A) Apresenta uma imagem de um paciente saudável; (B) paciente com ELA Fonte: https://anatpat.unicamp.br/bineuela2.html. Acesso em: 6 fev. 2024.
Com base em todas essas informações e nas imagens histológicas, responda às seguintes questões:
a) Observando a Figura 1, que representa um corte histológico de uma pessoa saudável, IDENTIFIQUE todas as estruturas observadas em 1, 2, 3 e 4 e DETALHE a função de cada uma delas.
b) Comparando a imagem B com a imagem A, DESCREVA as diferenças celulares entre elas.
c) ESPECIFIQUE qual é o formato de um neurônio, se existem outros tipos (utilize classificação morfológica) e onde são encontrados.
d) EXPLIQUE o que é um neurônio motor e, se existirem outras classificações, qual a função de cada uma.
e) No caso clínico relatado nesta atividade, o paciente apresentou atrofia muscular. DETALHE qual tipo de músculo foi acometido no caso clínico e como o neurônio motor faz sinapse com a fibra muscular. EXPLIQUE o que ocorre nessa região de contato.
Para elaborar sua resposta, você pode consultar artigos científicos e livros de histologia e patologia, disponíveis tanto na internet quanto na biblioteca da Unicesumar. Seguem algumas referências que poderão servir de auxílio para elaborar as respostas:
– SILVA, C. G. da. Embriologia e Histologia. Maringá-PR: UniCesumar, 2023
– BERTAZZI, R. N. et al. Esclerose Lateral Amiotrófica. Revista de Patologia do Tocantins, v. 4, n. 3, p. 54-65, 2017.
– JUNQUEIRA, L. C.; CARNEIRO, J. Histologia básica: texto e atlas. 14. ed. São Paulo: Grupo GEN, 2023.
MAPA – EMBRIOLOGIA E HISTOLOGIA – 51_2026
Embriologia e Histologia.
✅ FEEDBACK DE NOTAS 👉 Instagram 👈✅ MAIS INFORMAÇÕES AQUI

Historicamente, a Embriologia e a Histologia fortaleceram a compreensão do corpo humano. Primeiramente, pesquisadores estudaram o desenvolvimento embrionário. Além disso, analisaram tecidos ao microscópio. Em seguida, relacionaram estrutura e função. Assim, consolidaram bases da medicina. Portanto, melhoraram diagnósticos e tratamentos. Enquanto isso, avanços tecnológicos ampliaram pesquisas. Por outro lado, debates científicos geraram novas teorias. Ainda assim, estudiosos mantiveram rigor experimental. Desse modo, expandiram o conhecimento biológico. Por fim, contribuíram para a evolução da ciência da saúde.
Podemos te ajudar!
FALE CONOSCOContato: (19) 98773-4238


